0 Comments

ΠΝΕΥΜΟΝΙΑ

Αποτελεί συχνή αιτία νοσηλείας και  θα

νάτου παγκοσμίως.  Στους  ηλικιωμ

ένους εμφανίζεται συχνότερα.  Η  “ομάδα” 

ηλικιωμένων με συνοδάνοσήματα όπως με χρόνια αναπνευστικά  νοσήματα και οι καπνιστές κινδυνεύουν  περισσότερο. 

    Ο μικροοργανισμός που έχει  ενοχοποιηθεί για απειλητικές πνευμονίες  είναι ο στρεπτόκοκκος της πνευμονίας (ο  γνωστός σε όλους μας  ΠΝΕΥΝΟΝΙΟΚΟΚΚΟΣ),  υπάρχουν  όμως και άλλοι (όπως ο αιμόφιλος της  ινφλουέντζας, Λεγεονέλλα, μυκόπλασμα,  σταφυλόκοκκος κ.α.).

Οι ασθενείς αναφέρουν υψηλό πυρετό και βήχα, που διαρκεί εβδομάδες, παραγωγικό ή μη παραγωγικό.  Μπορεί να

 εμφανίζουν δύσπνοια και πλευριτικό πόνο στο στήθος.  Πάντως αξίζει να αναφέρω ότι όλα αυτά τα συμπτώματα δεν είναι χαρακτηριστικά για τη διάγνωση της πνευμονίας.
    Στους ηλικιωμένους συνήθως τα πράγματα μπερδεύονται.
Τα συμπτώματα είναι ΜΗ ΕΙΔΙΚΑ για την πνευμονία και αυτό επειδή πάσχουν και από άλλα νοσήματα άλλα και ο οργανισμός τους είναι εξασθενημένος γενικά.
    Το κάπνισμα, κατάχρηση αλκοόλ, αλλεργικό βρογχικό άσθμα, άτομα με σπληνεκτομή και η ανοσοκαταστολή (AIDS, Σ.Ε.Λ., άτομα με μεταμόσχευση οργάνων, με χρόνια αποφρακτική πνευμονοπάθεια, χρόνια νεφρική ανεπάρκεια, χρόνια καρδιακή ανεπάρκεια, χρόνια ηπατική ανεπάρκεια, με σακχαρώδη διαβήτη  και καρκινοπαθείς) άνω των 60 ετών αποτελούν ομάδες υψηλού κινδύνου.
    Όλοι γνωρίζουμε τη λέξη “ακροαστικά” και αυτός είναι ο κύριος φόβος των ασθενών που προσέρχονται στο ιατρείο.  Έχουν δίκιο, τα “ακροαστικά” που ακούει ο ιατρός με τα ακουστικά του (ρόγχοι ή τρίζοντες) αποτελούν το βασικότερο σημείο της πνευμονίας.  Επίσης η ταχύπνοια είναι το πιο σταθερό σημείο υπόνοιας της νόσου.

Κανένα από τα παραπάνω όμως δεν θέτει τη ΔΙΑΓΝΩΣΗ.

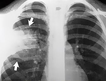
ΓΙΑ ΝΑ ΔΙΑΓΝΩΣΟΥΜΕ ΤΗ ΠΝΕΥΜΟΝΙΑ ΑΠΑΙΤΕΙΤΑΙ ΝΑ ΓΙΝΕΙ ΑΚΤΙΝΟΓΡΑΦΙΑ ΘΩΡΑΚΟΣ.

Ακτινογραφία σχηματική αναπαράσταση πνευμονίας
    Πρέπει να ξεκαθαρίσουμε ότι ο περιπατητικός ασθενής που προσέρχεται στο ιατρείο  και τίθεται μετά από την ακτινογραφία θώρακος ότι πάσχει από πνευμονία δεν σημαίνει ότι πρέπει να γίνει εισαγωγή στο νοσοκομείο.  Η πνευμονία της κοινότητας θεραπεύεται με διπλή αντιβίωση στο σπίτι και όλα καλά.
    Άρα ποιο είναι το κριτήριο για να πούμε ότι τα πράγματα είναι “σκούρα”.

Εισαγωγή στο νοσοκομείο σε πνευμονία
Αγαπητοί μου η κλινική εικόνα του ασθενούς (αν έχει όψη πάσχοντος ή όχι), η λεπτομερής κλινική εξέταση  και ο κορεσμός του αρτηριακού αίματος σε οξυγόνο είναι βασικά κριτήρια για το αν ο ασθενής μας πρέπει να νοσηλευτεί στο νοσοκομείο ή να λάβει θεραπεία με αντιβίωση στο σπίτι.
    Στο παρελθόν η θεραπεία βασιζόταν στην πενικιλίνη και αυτό διότι ο πνευμονιόκοκκος ήταν ευαίσθητος σε αυτήν.   Λόγω όμως της ανθεκτικότητας που απέκτησαν οι μικροοργανισμοί στην πενικιλίνη, λόγω της κατάχρησης των αντιβιώσεων (όπως είπαμε και αυτοί πρέπει να επιβιώσουν) σήμερα συνήθως δίδεται μια μακρολίδη και / ή ένας αναστολέας της β-λακτάμης.

ΠΡΟΛΗΨΗ

Εμβολιασμός με πολυδύναμα εμβόλια έναντι του πνευμονιόκοκκου.

Άτομα που ανήκουν στις ευπαθείς ομάδες άνω των 5 ετών πρέπει να εμβολιάζονται.
    Πολλές μητέρες με έχουν ρωτήσει:  “Αφου το παιδί μου κινδυνεύει γιατί να μην γίνει το εμβόλιο στους πρώτους μήνες της ζωής του;”
    Λοιπόν η αλήθεια είναι ότι και να το κάνουμε το εμβόλιο σε παιδί κάτω των δύο ετών δεν θα έχει αποτέλεσμα.  Τα βρέφη δεν είναι ικανά, επειδή το ανοσοποιητικό τους σύστημα μόλις άρχισε να διαμορφώνεται , να αναπτύξουν ανοσιακή απάντηση ούτως ώστε να προφυλαχθούν από πιθανή λοίμωξη με πνευμονιόκοκκο.

Πάντοτε να συμβουλεύεστε τον Γενικό Οικογενειακό Ιατρό σας.

Share:

Categories:

Leave a Reply

Your email address will not be published. Required fields are marked *

Skip to content