0 Comments

ΚΟΙΛΙΑΚΟΣ ΠΟΝΟΣ – ΟΞΕΙΑ ΣΚΩΛΗΚΟΕΙΔΙΤΙΔΑ

Αποτελεί ένα από τα πιο συχνά συμπτώματα προσέλευσης των ασθενών στο ιατρείο.   Η αλήθεια είναι ότι η σοβαρότητα της κατάστασης ποικίλει.  Οι παθήσεις που εκδηλώνονται με πόνο στη κοιλιά μπορεί να είναι απειλητικές για τη ζωή του ατόμου μέχρι και να αποτελούν άπλα ένα αυτοπεριοριζόμενο νόσημα.
     Πάνω από το 60% των επισκέψεων σε γενικούς ιατρούς, μετά από έρευνες, ο μη ειδικός κοιλιακός πόνος ήταν η πιο συνήθης διάγνωση.
Μη ειδικός κοιλιακός πόνος:
Περιλαμβάνει το σύνδρομο ευερέθιστου έντερου, η οξεία γαστρεντερίτιδα, η γαστρίτιδα, κολικός εντέρου, κύστεις στις ωοθήκες και μυϊκή τάση.

Ας διαχωρίσουμε τον κοιλιακό πόνο.

Σπλαχνικός πόνος:
Οφείλεται σε σπασμό ή τάση του μυϊκού τοιχώματος ενός κοίλου σπλάχνου ή σε διάταση ενός συμπαγούς οργάνου ή ισχαιμία ή φλεγμονή ενός τμήματος των σπλάχνων.
     Για παράδειγμα τα αγχώδη άτομα παρουσιάζουν συχνά κοιλιακό πόνο που οφείλεται σε σπασμό του έντερου αλλά και διάταση του τοιχώματος του από αέρα – ο γνωστός σε όλους μας κολικός εντέρου (καλοήθης κατάσταση).
Πως είναι όμως αυτός ο πόνος;
     Είναι τυπικά εν το βάθει, αμβλύς και διάχυτα εντοπισμένος στη μέση γραμμή (μια νοητή κάθετη γραμμή που πέρνα από τον ομφαλό).
Τοιχωματικός πόνος:
Οφείλεται σε ερεθισμό του τοιχωματικού περιτοναίου (λεπτή και διάφανη μεμβράνη που καλύπτει όλα τα σπλάχνα) από το κοντινό πάσχων ενδοκοιλιακό όργανο.
Πως είναι όμως αυτός ο πόνος;
     Είναι οξύς πόνος πιο εντοπισμένος(όχι διάχυτος) και το κύριο χαρακτηριστικό είναι ότι επιδεινώνεται με τις κινήσεις.  Εντοπίζεται πάνω από το πάσχων όργανο.  Αν είναι διάχυτος τότε μιλάμε για οξεία περιτονίτιδα λόγω διάτρησης ή ρήξης ενός ενδοκοιλιακού οργάνου.
     Υπάρχουν όμως και καταστάσεις όπου ο σπλαχνικός πόνος μετατρέπεται σε τοιχωματικό.  Ένα παράδειγμα αποτελεί η οξεία σκωληκοειδίτιδα.  Στην αρχή ο πόνος εντοπίζεται περιομφαλικά (σπλαχνικός πόνος) και στη συνέχεια εξελίσσεται σε τοιχωματικό πόνο στο δεξιό κάτω τοιχωματικό τεταρτημόριο (δεξιά κάτω χαμηλά στην κοιλιά).

ΟΞΕΙΑ ΣΚΩΛΗΚΟΕΙΔΙΤΙΔΑ

Ο κύριος φόβος των γονέων όταν το παιδί τους αναφέρει πόνο στην κοιλιά. 
     Εδώ θα ήθελα να αναφέρω ότι το 15-35% των σκωληκοειδεκτομών οδηγεί σε αφαίρεση φυσιολογικής σκωληκοειδούς απόφυσης.  Άρα μιλάμε για ένα σημαντικό αριθμό ασθενών που ανούσια χειρουργούνται.  Από την άλλη πλευρά όμως καθυστέρηση της διάγνωσης για πάνω από 2 ημέρες συσχετίζεται με υψηλότερο ποσοστό ρήξης της σκωληκοειδούς απόφυσης και οξεία περιτονίτιδα (μια κατάσταση δυνητικά επικίνδυνη για τη ζωή του ασθενούς). 
     Για να δούμε σύντομα τα συμπτώματα και τι ακριβώς γίνεται.  Αρχικά λόγω της φλεγμονής η σκωληκοειδής απόφυση διογκώνεται.  Η διάταση της σκωληκοειδούς απόφυσης δίδει ασαφές περιομφαλικό σπλαχνικό πόνο που μπορεί να συνοδεύεται από ανορεξία, ναυτία και έμετο.
***Στη οξεία σκωληκοειδίτιδα ο έμετος πάντα εμφανίζεται μετά από τον πόνο στην κοιλιά***
Σε αντίθετη περίπτωση είναι απίθανη η διάγνωση της οξείας σκωληκοειδίτιδας.
     Στη φάση αυτή η κλινική εξέταση δεν αποκαλύπτει ειδικά ευρήματα.
     Στη συνέχεια ο περιομφαλικός πόνος μετατρέπεται σε τοιχωματικό πόνο και εντοπίζεται χαρακτηριστικά στο δέξιο κάτω τεταρτημόριο της κοιλιάς  (Σημείο Mc Burney).
Η κλινική εξέταση σε αυτό το στάδιο αποκαλύπτει πολλά ειδικά ευρήματα όπως εκούσια αμυντική σύσπαση των κοιλιακών τοιχωμάτων, αναπηδώσα ευαισθησία, θετικό Rovsing θετική δοκιμασία βήχα, θετικό σημείο ψοΐτη και αντανακλαστική αντιδραστική εντοπισμένη ακούσια σύσπαση (αυτά αφορούν τους ιατρούς).
     Αργότερα με τη ρήξη της σκωληκοειδούς ο πόνος παροδικά παρουσιάζει ύφεση και σύντομα γίνεται πολύ πιο έντονος και ο ασθενής επιδεινώνεται με πολύ αυξημένο πυρετό και σημεία τοξικότητας  και παρουσιάζει σανιδώδη σύσπαση της κοιλιάς.
     Αυτή είναι μια κλασική πορεία μιας οξείας σκωληκοειδίτιδας άλλα δυστυχώς η εικόνα διαφέρει και αλλάζει από ασθενή σε ασθενή.  Ιδίως στους ηλικιωμένους η διάγνωση είναι πάρα πολύ δύσκολη.
     Συνήθως μετά από το λεπτομερές ιστορικό και τη λεπτομερή κλινική εξέταση δίδονται εξετάσεις αίματος για να διαπιστώσουμε αν όντως υπάρχει φλεγμονή ή όχι.

Τι εξετάσεις θα κάνουμε;

     Απλά θα δούμε μια γενική αίματος και CRP (C-αντιδρώσα πρωτεΐνη).
Ωραία άρα αν τα λεύκα από τη γενική αίματος είναι αυξημένα και η CRP επίσης αυξημένη υπάρχει φλεγμονή οπότε  αυξάνεται ο κίνδυνος για οξεία σκωληκοειδίτιδα.
Αν όμως είναι φυσιολογικές οι τιμές και των δυο τότε τι σημαίνει αυτό; 
Αποκλείει τη διάγνωση της οξείας σκωληκοειδίτιδας;
ΌXI  φυσιολογικές τιμές από τις εξετάσεις αίματος δεν αποκλείουν τη διάγνωση της οξείας σκωληκοειδίτιδας.
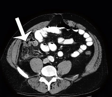
Η διάγνωση της οξείας σκωληκοειδίτιδας τίθεται ξεκάθαρα με την αξονική τομογραφία με χορήγηση σκιαγραφικών μέσων.
     Συνεπώς με το που τεθεί η διάγνωση της οξείας σκωληκοειδίτιδας πρέπει να γίνει εισαγωγή σε χειρουργική κλινική και η πρώιμη εγχείρηση είναι απαραίτητη ούτως ώστε να αποφευχθούν οι σοβαρότατες επιπλοκές που σχετίζονται με τη ρήξη της (οξεία περιτονίτιδα).
     Στην περίπτωση που η διάγνωση είναι ασαφής χρειάζεται και πάλι εισαγωγή σε χειρουργική κλινική και παρακολούθηση με επαναλαμβανόμενες εξετάσεις.

Πάντοτε να συμβουλεύεστε το Γενικό Οικογενειακό Ιατρό σας.

Share:

Categories:

Leave a Reply

Your email address will not be published. Required fields are marked *

Skip to content